DENTAL TREATMENTS
WE ARE WITH YOU WITH WARRANTY SERVICE
Stitch-Free Implant
⭐ Gentle Implant Revolution – Stitch-Free & Incision-Free Implant Placement Treatment By...
Detailed Reviewhygiene
⭐ Professional Dental Cleaning (Scaling & Polishing) Essential Care for a...
Detailed ReviewCeramic and Zirconia Crowns
Dental Crowns & Veneers PFM Ceramic • Zirconia • Full...
Detailed ReviewPeriodontal Surgery
Periodontal Surgery Hounslow – Expert Gum Care at DentEuropa Welcome...
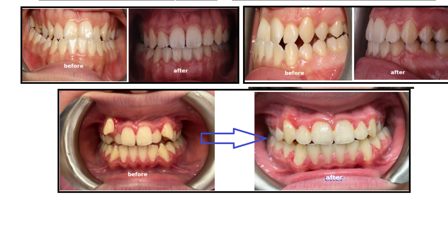
Detailed ReviewOrthodontics
Transform Your Smile with Expert Orthodontic Treatment Hounslow At DentEuropa,...
Detailed Review

